Dunwell Dentistry
Dr. Jeffrey A. Dunwell
Request an Appointment
Like us on Facebook
Leave a Google Review
(248) 216-1000
General and Aesthetic Dentistry
22180 Pontiac Trail, Suites C/D, South Lyon, MI 48178
Patient Portal & Online Payment
Menu
Call
Book Now
Map
Home
About
Our Team
Office Pictures
Services
View All
Cosmetic Dentistry
Crowns and Bridges
Dental Implants
Dentures and Partials
Digital X-rays
Extractions
Preventive and General Dentistry
Root Canal Therapy
Teeth Whitening
Porcelain Veneers
Smile Gallery
Testimonials
Patient Info
View Patient Info
New Patient Forms
FAQs
Cherry Financing
Financial
Contact
Dunwell Dentistry
>
Smile Gallery
>
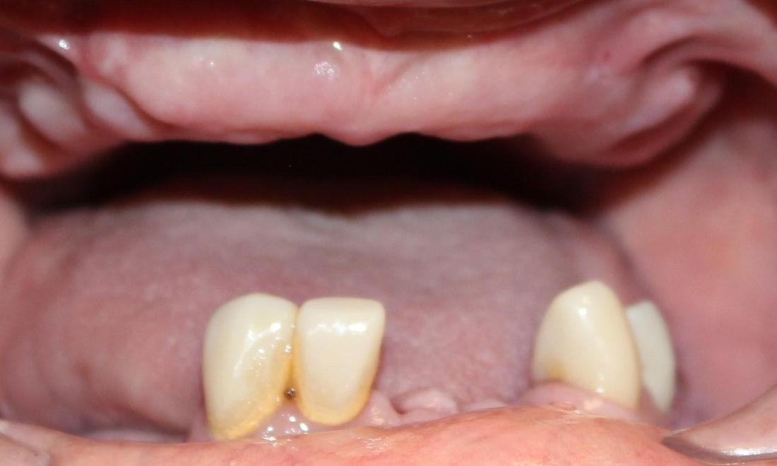
Full and Partial Dentures
Full and Partial Dentures
Return to Smile Gallery
Previous
Next
Related Services:
Dentures and Partials
Drag the arrows back and forth to view complete Before and After views
Not finding what you need?
Contact Us
If you have difficulty using our website, please
email us
or call us at
(248) 216-1000
View the
ADA Accessibility Statement
Turn on ADA Views
OK!
×
×
Contact Us Today
Give Us A Call
Dunwell Dentistry -
(248) 216-1000
Send Us an Email
Request an Appointment
Contact Us
Ready to Schedule an Appointment?
Book Online
Have Questions? Contact Us:
Required Field
Your Name:
Phone:
Email:
Are you a new patient?:
Are you a?
New Patient
Current Patient
How would you like us to contact you?
Please choose
Email
Call
How did you hear about us?
Please choose
I'm an existing patient
Google/Bing
Mailer
Word of mouth
Social media
Other
Who Referred You?:
Appointment Type?
Please choose
New Patient Cleaning/Exam
New Patient Consultation
Existing Patient Continuing Care
Dental Representative Meeting Request
Other
Appointment Preferences
Monday
Tuesday
Wednesday
Thursday
Your Message:
This site is protected by reCAPTCHA and the Google
Privacy Policy
and
Terms of Service
apply.
Sending...
×
This Patient's Experience
Loading Testimonial...
Loading Case...